52-Comment décrypter et déjouer arnaques et incompétences en orthondique (1/4)
On dit tellement de choses sur l’orthodontie ! Que ça soit dans le but de “garder ses dents”, ou celui d’ avoir un plus beau sourire. 🟦Vous avez un sacré…
On dit tellement de choses sur l’orthodontie ! Que ça soit dans le but de “garder ses dents”, ou celui d’ avoir un plus beau sourire. 🟦Vous avez un sacré…
C’est la même adolescente avant et après une ostéotomie d’avancée mandibulaire (on allonge la mandibule chirurgicalement, sans aucune cicatrice) . Pas mal non? ça change une existence! ◼L’impact du squelette…
🟦 Quand on veut se faire aligner les dents, on est un peu dans le brouillard. Quel appareil faut-il privilégier? quel est le meilleur? A qui se fier? aux professionnels? …
🟦C’est bien la question qui trotte dans la tête lorsque l’on va chez l’orthodontiste ◼Depuis une trentaine d’années, on voit tous les enfants avec un appareil dentaire dans la bouche,et…
Mon frère, c’est le docteur “guette-au-trou” , un peu osé cette appellation ! C’est pourtant celle qu’on utilisait il y a quelques années encore , en salle de garde, pour…
Autant en médecine, on n’hésite pas à parler de pronostic à un malade atteint d’une pathologie plus ou moins grave, autant en orthodontie c’est quasiment un sujet tabou. 🟦La santé…
On a toujours tendance à dire que plus “c’est pris tôt” et mieux c’est. ◼“ C’est grave docteur? “Oui, disons qu’il y a un problème de croissance” “Alors on traite …
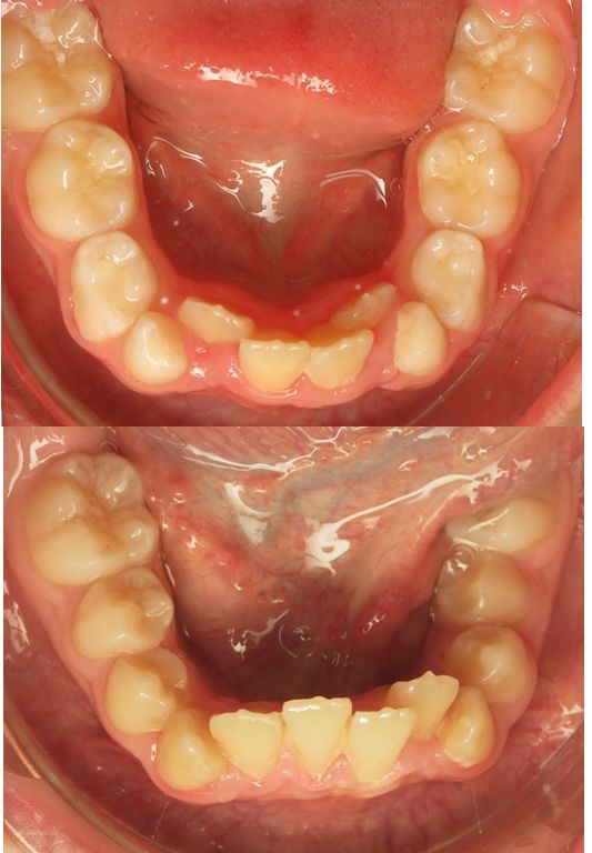
◼“ Sa mâchoire inférieure est trop petite, regardez-moi ça! il se mord le palais!” Vous ouvrez magistralement votre tiroir et vous sortez une boiîte jaune marquée :denture mixte Vous en…
Tous les parents, tout le corps médical se posent cette question On entend tout et son contraire! ◼ “ Mais docteur, mon fils n’a pas ses dents définitives, pourquoi…
On a est parfois un peu leste niveau davier. Devant un gosse de 7-8 ans qui a un encombrement incisif, ne vous arrive-t-il pas de sortir le davier pour “faire de la…